SALUD
26 de septiembre de 2024
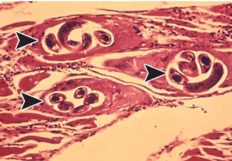
TOMAR CONCIENCIA SOBRE LA GRAVEDAD DE LA TRIQUINOSIS

HABLAMOS CON MARCELO PELLEGRINI, MEDICO VETERINARIO
El Médico Veterinario de Monte Maíz, Marcelo Pellegrini, habló sobre la triquinosis, debido a los casos que se han confirmado en nuestra provincia; al menos ocho.
Al respecto dijo: "En Córdoba cada tanto aparecen casos de triquinosis, ya que es una provincia que conserva todavía la costumbre de la "carneada". Se trata de un parásito que tiene la particularidad de que se transmite de carne a carne. Habita, se enquista y luego se encapsula en el músculo de los carnívoros. Por ejemplo; un caballo nunca va a tener triquinosis porque come pasto. Con la vaca y las ovejas pasa lo mismo. Pero los cerdos comen carne y el hombre y el ratón también. El ser humano se puede contagiar comiendo carne de cerdo que no esté cocida a fuego. El parásito se encapsuka en los músculos donde hay más oxígeno; intercostales, diafragma y en los músculos más enteros. Primero se enquista y luego se encapsula y ahí queda durante toda la vida esperando que alguien se lo coma, Porque para que ese parásito se reproduzca tiene que pasar por el ácido del estómago. Por ejemplo: me compro un salazóm; un jamó o un salame que está cocinado a sal y no a fuego. La sal a ese parásito no le hace nada. Cuando yo me como ese salazón y el mismo llega a mi estómago o al PH ácido, ahí se activa y se reproduce. Es por eso que la forma de contagio para el ser jumano es a través del consumo de carne de cerdo cocida con sal".
Explicó también como se puede contagiar un cerdo: "El animal se puede contagiar comiéndose un ratón que estaba infectado. Porque el cerdo come ratones y, a su vez, el ratón come cerdos. Supongamos que un cerdo se muere de triquinosis y el dueño del campo lo lleva a la fosa donde tira los cadáveres; y ahí se lo come el ratóm. Por eso parece un círculo entre ratón y cerdo; cerdo y ratón".
A criterio del profesional, se trata de una enfermedad muy grave, que puede llevar a la muerte y sobre la cual, aún no se ha tomado debida conciencia.
Dijo también al respecto: "Es necesario divulgar esta información porque muchos tienen la tradición de hacer la carneada. Y suelen decr que se hace durante tantos años y nunca pasó nada. Pero no pasa nada hasta que pasa. Por eso es necesario recomendar que siempre que se compren productos de salazón como salames o jamones, es necesario que el producto tenga el rótulo del frigorífico. Eso significa que han pasado por la inspección correspondiente. Y quien compra un animal para carnear, tiene que tomar algunas precauciones. Debe consultar a un veterinario o en Bromatología para que se puedan tomar muestras de seis gramos de carne para hacerla analizar. Y de esa forma va a estar más tranquilo. Va a poder comer ese salazón y lo va a poder vender y dormir tranquilo. El estudio se llama Digestión artificial y es muy barato aunque no todos los municipios lo hacen".
